
ホワイトニング
あなたに合った白さで、印象アップの第一歩
日々のコーヒーやお茶、喫煙などによる着色や、
加齢による自然な黄ばみでお悩みではありませんか?
ホワイトニングは、歯を削ることなく
当院では患者様のライフスタイルに合わせた
自然で健康的な白い歯で、
ブリーチング
In-office whitening
気になる歯に
ピンポイントでアプローチ
ホワイトニングは通常トレーを製作し、全体の歯を対象としますが、ブリーチングは変色した特定の1本だけを白くする手法です。
単独の歯が変色する主な原因は、虫歯や打撲などの外傷、歯の神経が壊死している、または神経処置がすでに行われている「失活歯」であることによる色の変化です。
歯根内部に漂白剤を注入して本来の色調を回復させます。
- ブリーチング
-
歯の内部から原因を除去するため、外側からのホワイニングよりも高いホワイトニング効果が期待できます。また歯の表面に薬剤を直接作用させないため、より自然な仕上がりを実現できます。
2週間ごとに1回程度、全部で3〜4の通院が必要となります。30,000円(税抜)
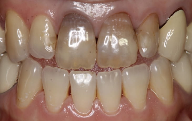
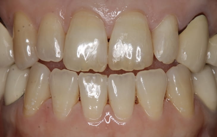
ブリーチングの症例
- 主訴
- 上前歯の変色
- 年齢・性別
- 39歳・女性
- 治療期間・回数
- 約2ヶ月・4回
- 治療方法
- ブリーチング
- 費用
- 80,000円(税抜)
- デメリット・注意点
-
適応は失活歯に限られる。残存歯質が少ない又は薄い場合治療できない。
治療期間中は漂白剤を入れて仮封の状態なので外力により歯が破折する危険性がある。治療後も色の後戻りの可能性がある。薬剤による変色の場合は効果が薄い。
ブリーチングのリスク・副作用
- ブリーチング後に歯がしみる症状が現れることがあります。
- ブリーチング剤に含まれる過酸化水素が原因で、歯肉が炎症を起こすことがあります。
- 治療中または治療後に急な痛みが生じる場合があります。
- ブリーチング後も、コーヒーやお茶、タバコなどの習慣により再着色が起こることがあります。
- 効果を求めすぎるあまり、過剰にブリーチングを行うと、歯のエナメル質にダメージを与える可能性があります。
- 一部の人では、ブリーチング剤に対してアレルギー反応が出ることがあります。
- 漂白剤が口腔内に残ると、喉の刺激や不快感を引き起こすことがあります。
ホームホワイトニング
【Tion ホームウィズ/ホームプラチナ】
At-home Whitening
ライフスタイルに合わせた
自分ペースのホワイトニング
ホームホワイトニングは、歯科医師の指導のもと、患者様自身がカスタムトレー(歯型から作る専用マウスピース)とホワイトニングジェルを使って自宅で実施するホワイトニング法です。
ご自宅で好きな時間に行えるメリットがあります。
オフィスホワイトニングと比べて薬剤の浸透がゆるやかなため時間を要しますが、効果の持続性が高く、より自然な白さを実現できます。
当院では高品質のホワイトニングジェルである「Tion ホームウィズ/ホームプラチナ」の2種類からお好みに合わせてお選びいただけます。
-
Tion
ホームウィズ -
高濃度で効率よくスピード重視のホワイトニングが可能となります。
すき間時間を活用して早く白くしたい方などにおすすめです。60分×10回
32,000円(税抜)
-
Tion
ホームプラチナ -
低濃度でじっくりと歯を白くしていくため、時間はかかりますが確実かつ安定した白さが得られます。
知覚過敏症状が心配な方などはおすすめです。20分×14回
30,000円(税抜)
ホームホワイトニングのQ&A
- そもそもホワイトニングって何ですか?
-
歯のクリーニングでは落ちない歯内部の着色を、削らずにホワイトニング剤を表面に置くことで白くする漂白方法です。
マニキュアのように表面に色を塗るわけではないため、自然な仕上がりになります。
ホワイトニングは診療室で行う「オフィスホワイトニング」と、自宅で実施する「ホームホワイトニング」の2種類があります。 -
どんな歯でもホワイトニングできますか?
または誰にでもできますか? -
ホワイトニングはご自分の歯にのみ可能です。ホワイトニングでつめ物やかぶせ物・差し歯の色を変えることはできません。そのためホワイトニング終了後に、それらが目立ってしまうことがあります。
また、妊娠している可能性がある方・妊娠中や授乳中の方・知覚過敏のひどい方(歯がしみやすい方)・歯が発達していない子供はホワイトニングを避けられたほうがよろしいかと思います。
また、無カタラーゼ症の方はできません。 -
一度白くなった歯は
どれくらいもつのですか? - ホワイトニングの効果は永久的ではありません。個人差はありますが基本的には元の色に戻る傾向があります。追加のジェルを購入して追加漂白(タッチアップ)を行えば、白さをある程度維持することが可能です。
ホワイトニングのリスク・副作用
- 治療中や治療後に一時的な知覚過敏(歯がしみる症状)が生じることがあります。
- 歯肉(歯ぐき)に薬剤が触れると、一時的な刺激や軽い炎症が起こる可能性があります。
- 既存の詰め物や被せ物などの人工物は漂白されないため、天然歯との色の差が目立つことがあります。
- 個人差はありますが、効果の持続期間には限りがあり、定期的なメンテナンスが必要となります。
- 食生活や喫煙習慣によっては、再び着色しやすくなる場合があります。
- まれに薬剤に対するアレルギー反応が起こることがあります。
- 適切でない使用方法(長時間の使用など)により、エナメル質の損傷や過度の脱灰が生じる可能性があります。
- ホームホワイトニングの場合、指示通りに行わないと期待した効果が得られないことがあります。
- 治療期間中は着色の強い飲食物(コーヒー、赤ワイン、カレーなど)の摂取を制限する必要があります。
- 妊娠中や授乳中の方、18歳未満の方には推奨されていません。